Менингиома головного мозга — это опухоль, образующаяся из оболочек мозга, а именно из арахноидной оболочки. Она обычно отличается медленным ростом и может долгое время оставаться бессимптомной. Однако, по мере увеличения размера опухоли, пациенты могут начать испытывать различные неврологические симптомы, которые требуют ранней диагностики и лечения. В этой статье мы рассмотрим причины возникновения менингиомы, ее симптомы, методы диагностики и возможные варианты лечения. Также мы поговорим о прогнозах для пациентов, страдающих от этого заболевания. Завершим статью полезными ответами на часто задаваемые вопросы.
Причины и факторы риска

Основные причины возникновения менингиомы
Причины появления менингиомы полностью не изучены, но существуют некоторые факторы, которые могут повлиять на ее развитие. Ученые считают, что менингиомы могут возникать из-за мутаций в клетках, составляющих оболочки мозга. Это может быть результатом воздействия радиации или других экологических факторов. В некоторых случаях связь между генетической предрасположенностью и развитием опухоли также не исключается. Характеризуется это тем, что у пациентов с определёнными мутациями генов, такими как NF2, риск возникновения менингиомы значительно повышается. Другие причины включают воспалительные заболевания и травмы головы, которые могут привести к изменению клеток оболочек мозга.
Факторы, повышающие риск развития
- Генетика: наличие опухолей у близких родственников может увеличить риск.
- Возраст: менингиома чаще встречается у людей старше 40 лет.
- Пол: женщины чаще страдают от этого заболевания, чем мужчины, что может быть связано с гормональными изменениями.
Симптомы менингиомы
Как проявляется менингиома?
Симптомы менингиомы могут варьироваться в зависимости от её размера и расположения. На ранних стадиях опухоль может не вызывать никаких симптомов, что затрудняет её своевременную диагностику. По мере роста опухоли пациенты могут испытывать постоянные головные боли, нарушения зрения, слуха, а также проблемы с равновесием и координацией. Кроме того, к неврологическим симптомам относятся изменения в поведении и когнитивные расстройства, такие как забывчивость или сложности с концентрацией. Симптоматика может варьироваться, поэтому важно обратиться к врачу при возникновении любых аномалий.
Когда обращаться к врачу
Своевременное обращение к специалисту может существенно повлиять на исход лечения менингиомы. Если вы замечаете у себя необычные головные боли, изменения в восприятии окружающего мира или любую другую нехарактерную симптоматику, рекомендуется обратиться в онкологическая клиника в москве для консультации специалистов. Чем раньше будет проведена диагностика и лечение, тем выше шансы на успешный исход. Важно помнить, что многие симптомы могут быть результатом других заболеваний, поэтому только врач может назначить необходимое обследование.
Диагностика менингиомы
Методы диагностики
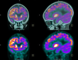
Для диагностики менингиомы используются несколько методов, позволяющих точно определить наличие и характер опухоли. Наиболее распространёнными методами являются магнитно-резонансная томография (МРТ) и компьютерная томография (КТ). Эти исследования позволяют получить детализированные изображения головного мозга и выявить опухоли. В некоторых случаях может потребоваться биопсия, чтобы понять, является ли опухоль доброкачественной или злокачественной. Даже если первоначальные результаты не подтверждают наличие менингиомы, регулярное наблюдение остаётся важным для контроля состояния пациента.
Значение ранней диагностики
Ранняя диагностика менингиомы играет ключевую роль в определении эффективности лечения. Чем раньше будет выявлена опухоль, тем меньше риск осложнений и выше шансы на успешное избавление от неё. Для получения точной информации о состоянии здоровья пациента следует регулярно проходить профилактические осмотры в онкологическая клиника в москве, особенно если у вас есть факторы риска. Раннее обнаружение опухоли значительно увеличивает вероятность успешного хирургического вмешательства и положительного прогноза.
Лечение менингиомы
Консервативные методы
В некоторых случаях, особенно если менингиома маленькая и не вызывает симптомов, врачи могут рекомендовать наблюдение и мониторинг состояния пациента. Это может включать регулярные МРТ и КТ для отслеживания изменений в размере опухоли. Такой подход позволяет избежать ненужного хирургического вмешательства. Однако, если опухоль начинает увеличиваться или вызывает симптомы, потребуется более активное лечение.
Хирургическое вмешательство
Одним из основных методов лечения менингиомы является хирургическое удаление. Операция показана в случаях, когда опухоль вызывает симптомы или быстро растёт. Врач оценивает расположение и размеры опухоли, что позволяет определить, существует ли возможность её полного удаления без риска для здоровья пациента. Успешная операция может значительно улучшить качество жизни пациента и минимизировать риск возвращения опухоли.
Радиотерапия
Радиотерапия также может быть применена в лечении менингиомы, особенно если операция не возможна или если опухоль не может быть полностью удалена. Этот метод может помочь уменьшить размер опухоли и уменьшить риск её возврата после операции. Для определения подходящей тактики лечения важно проконсультироваться с врачом и пройти все необходимые исследования.
Прогноз и выживаемость
Ожидаемая картина после лечения
Прогноз при менингиоме зависит от множества факторов, включая размер, расположение опухоли и общее состояние здоровья пациента. Большинство доброкачественных менингиом имеют хороший прогноз, особенно при своевременном лечении. Возможны случаи, когда опухоль рецидивирует, но регулярное наблюдение и контроль состоянием здоровья пациента позволяют минимизировать риски. Применение современных методов лечения, таких как радиотерапия, также существенно способствует улучшению результатов. Здоровый образ жизни, включая сбалансированное питание и регулярные физические нагрузки, может повысить шансы на успешное восстановление.
Влияние на качество жизни
Качество жизни пациентов с менингиомой зависит как от самой опухоли, так и от метода лечения. Несмотря на то что некоторые пациенты сталкиваются с долгосрочными неврологическими эффектами, многие могут вернуться к своему обычному образу жизни. Важно помнить, что психоэмоциональное состояние также играет роль в восстановлении, поэтому поддержка семьи и близких имеет огромную ценность в этот период. Осознание своего состояния и использование всех доступных ресурсов и методов лечения помогут пациентам справиться с диагнозом и улучшить качество жизни.
Итог
Менингиома головного мозга — это серьезное заболевание, требующее внимательного подхода к диагностике и лечению. Важно понимать, что своевременная диагностика и адекватные лечебные мероприятия могут значительно улучшить качество жизни и прогноз для пациента. Если у вас возникли подозрения на менингиому или есть факторы риска, советуем не откладывать визит к врачу в онкологическая клиника в москве. Своевременные вмешательства и регулярные осмотры могут изменить ход болезни и обеспечить долгую и здоровую жизнь.
Часто задаваемые вопросы
- Что такое менингиома?
Менингиома — это опухоль, развивающаяся из оболочек мозга, которая часто растет медленно и может быть безсимптомной на ранних стадиях.
- Каковы основные симптомы менингиомы?
Симптомы могут включать головные боли, изменения в зрении, слабость, проблемы с памятью и другие неврологические расстройства.
- Как диагностируется менингиома?
Диагностировать менингиому можно с помощью МРТ, КТ и биопсии, которая помогает определить характер опухоли.
- Как лечится менингиома?
Лечение может включать хирургическое удаление опухоли, радиотерапию или наблюдение за состоянием пациента, в зависимости от случая.
- Какой прогноз при менингиоме?
Прогноз зависит от размера и расположения опухоли, а также от сложности лечения, но многие пациенты имеют положительный исход.